Ştiri      molnar geza

Epidemiologul Molnar Geza: În curând numărul cazurilor de COVID 19 va scădea. Cât timp mai durează isteria

Epidemiologul Molnar Geza: În curând numărul cazurilor de COVID 19 va scădea. Cât timp mai durează isteria

Epidemiologul Molnar Geza: În curând numărul cazurilor de COVID 19 va scădea. Cât timp mai durează isteria

Epidemiologul Molnar Geza lansează vești bune despre coronavirus: De ce nu se mai întoarce pandemia!

Epidemiologul Molnar Geza lansează vești bune despre coronavirus: De ce nu se mai întoarce pandemia!

Epidemiologul Molnar Geza lansează vești bune despre coronavirus: Nu se mai întoarce pandemia

Epidemiologul Molnar Geza: Nu e normal să pipăi 10 portocale pentru a alege două

Epidemiologul Molnar Geza: Nu e normal să pipăi 10 portocale pentru a alege două

Epidemiologul Molnar Geza: Nu e normal să pipăi 10 portocale pentru a alege două

Epidemiologul Molnar Geza explică cât de sigure vor fi mijloacele de transport în comun - Sfaturi

Epidemiologul Molnar Geza explică cât de sigure vor fi mijloacele de transport în comun - Sfaturi

Epidemiologul Molnar Geza explică cât de sigure vor fi mijloacele de transport în comun - Sfaturi

La Kaufland Mărăști, parcarea este plină ca într-o zi normală - FOTO

La Kaufland Mărăști, parcarea este plină ca într-o zi normală - FOTO

La Kaufland Mărăști, parcarea este plină ca într-o zi normală - FOTO

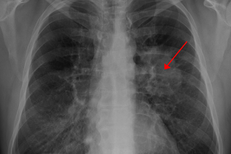
Coronavirusul nu lasă leziuni la nivelul plămânilor

Coronavirusul nu lasă leziuni la nivelul plămânilor

Coronavirusul nu lasă leziuni la nivelul plămânilor

Cât supraviețuiește coronavirusul în aer liber

Cât supraviețuiește coronavirusul în aer liber

Cât supraviețuiește coronavirusul în aer liber

Virusologul clujean Molnar Geza întrebat dacă trebuie să dezinfectăm alimentele în lupta cu coronavirusul

Virusologul clujean Molnar Geza întrebat dacă trebuie să dezinfectăm alimentele în lupta cu coronavirusul

Virusologul clujean Molnar Geza întrebat dacă trebuie să dezinfectăm alimentele în lupta cu coronavirusul

Virusologul clujean, Geza Molnar: Numărul de 1.024 de cazuri e departe de numărul real al bolnavilor din România

Virusologul clujean, Geza Molnar: Numărul de 1.024 de cazuri e departe de numărul real al bolnavilor din România

Virusologul clujean, Geza Molnar: Numărul de 1.024 de cazuri e departe de numărul real al bolnavilor din România