Duminica 14 Decembrie

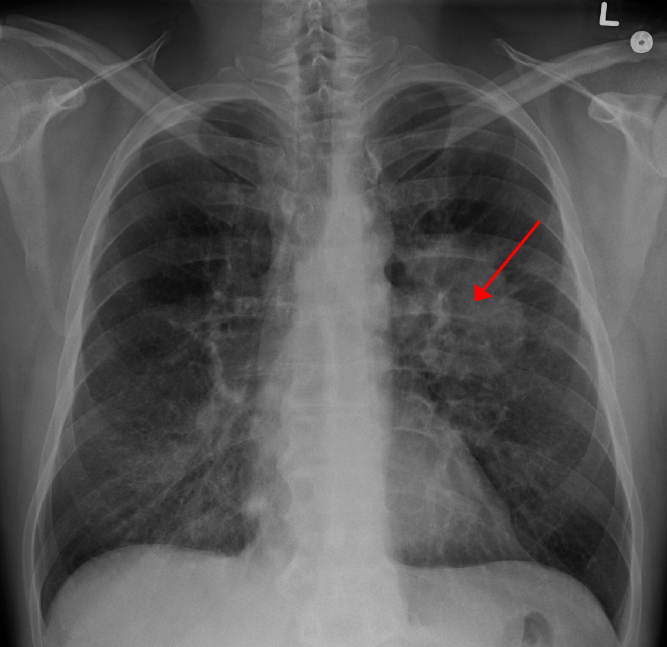
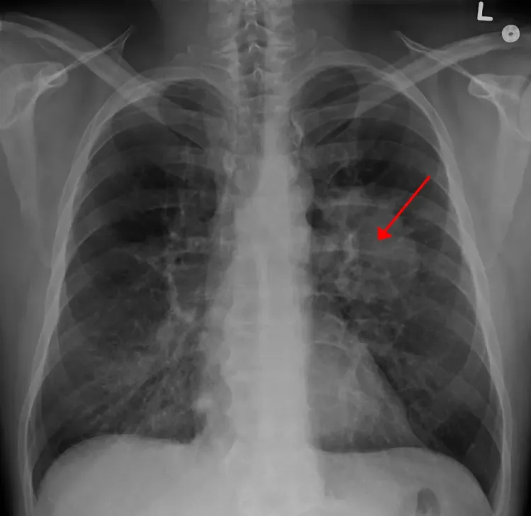
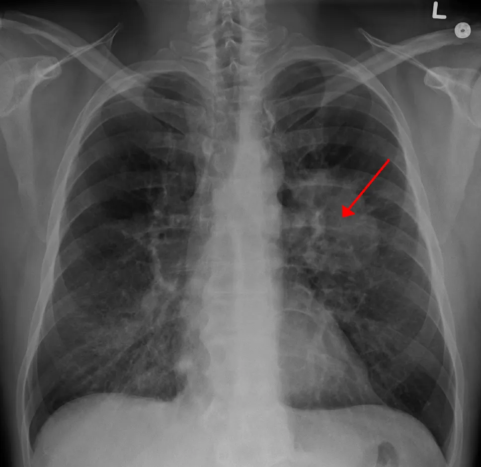
Coronavirusul nu lasă leziuni la nivelul plămânilor


Virusologul clujean Molnar Geza, profesor la UMF Cluj, a spus că cercetările făcute nu au arătat că virusul COVID 19 ar putea lăsa leziuni la nivelul plămânilor. 

Infecția cu coronavirus nu lasă leziuni în timp, nu lasă leziuni, dar poate accentua leziunile la persoanele care au bronhopneumopatii cronice, obstructive, bronșite cronice, repetate infecții pulmonare, care sunt de altfel pe un plămân deja atins, lezat, prin boala cronică. Repet, nu am cunoștințe de date științifice că lasă sechele iremediabile, nevindecabile, până la ora actuală. În genere, virozele respiratorii se vindecă”, a declarat virusologul Molnar Geza.


Comentarii Facebook