Băiețel de 2 ani, în stop respirator la Spitalul de Copii! Părinții s-au șocat de ce avea în plămâni

 

Un copil de 2 ani a fost adus în stop cardio-respirator la Spitalul de Copii din Cluj, fiind în stare deosebit de gravă după ce a înghițit sâmburi.

 

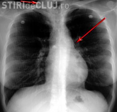
Băiețelul a fost adus din Baia Mare și a fost resuscitat fiind în stare foarte gravă. Cornel Aldea, managerul Spitalului de Copii Cluj, a declarat că băiețelul a înghițit sâmburi de migdale, ”pe care i-a aspirat și i-au ajuns în plămâni”.

 

Pentru că se sufoca, medicii au fost nevoiți să îi facă o intervenție deosebit de riscantă, i-au aspirat plămânii. Astfel au fost scoși câțiva sâmburi de migdale, pe care copilul i-a introdus în gură și i-a înghițit. 

 

Apropiații familiei susțin că părinții sunt în stare de șoc. ”Nu își explică cum s-a întâmplat. Probabil că cel mic a ajuns la bolul cu sâmburi și a luat câțiva în joacă sau i-a găsit prin casă. Problema este că în primă fază nici nu am știut ce are. Se sufoca. A intrat în panică și a făcut stop”, a spus sursa citată.

 

Copilul este acum la terapie intensivă, dar este într-o stare mult mai bună.

 

Părinții le mulțumesc medicilor din Cluj pentru modul în care au intervenit. Viața copilului a fost salvată cu mari eforturi.

Comentarii Facebook