Duminica 14 Decembrie

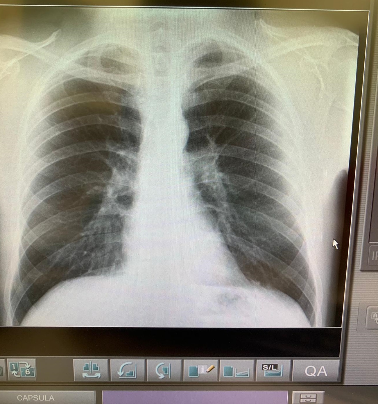
Cercetătorii au indicii care explică de ce unii oameni fac forme grave de COVID și alții nu


O echipă de cercetători a descoperit indicii care ar putea explica de ce unii oameni fac forme grave de COVID, iar alții nu. 

Potrivit unui studiu publicat vineri de revista Nature, după studierea ADN-ului a circa 2.700 de pacienţi din unităţile ATI din Marea Britanie, au fost depistate unele indicii asupra mecanismelor care generează simptomele grave ale bolii.

Studiul, citat de Agerpres, sugerează că formele grave de COVID-19 au la bază cel puţin două mecanisme biologice: tipul apărării antivirale înnăscute - importantă în primele faze ale bolii - şi procesele inflamatorii dezvoltate de bolnav. Echipa care a realizat cercetarea consideră că testele clinice trebuie axate pe medicamentele care vizează aceste căi antivirale şi antiinflamatorii specifice.

La fel ca în cazul septicemiei şi gripei, pentru COVID-19 afectarea plămânilor este provocată de propriul nostru sistem imunitar, nu de virus”, susține Kenneth Baillie, cercetător la Universitatea din Edinburgh.

Diferenţe au fost descoperite în genele IFNAR2, TYK2, OAS1, DPP9 şi CCR2, ceea ce explică, în parte, de ce unele persoane dezvoltă forme grave de COVID-19, în timp ce altele nu sunt afectate, notează această universitate.

După identificarea genelor, echipa de cercetare a putut să estimeze efectul tratamentelor farmacologice la pacienţi, întrucât unele variante genetice răspund anumitor medicamente într-o manieră similară. S-a observat astfel că o diminuare a activităţii genei TYK2 protejează împotriva infectării cu SARS-CoV-2 şi că medicamente antiinflamatoare din categoria inhibitoarelor JAK produc acest efect.

Acelaşi studiu mai semnalează că o creştere a activităţii genei INFAR2 creează „probabil” protecţie în faţa noului coronavirus, întrucât ar putea imita efectul tratamentului cu interferon.

Comentarii Facebook