Duminica 14 Decembrie

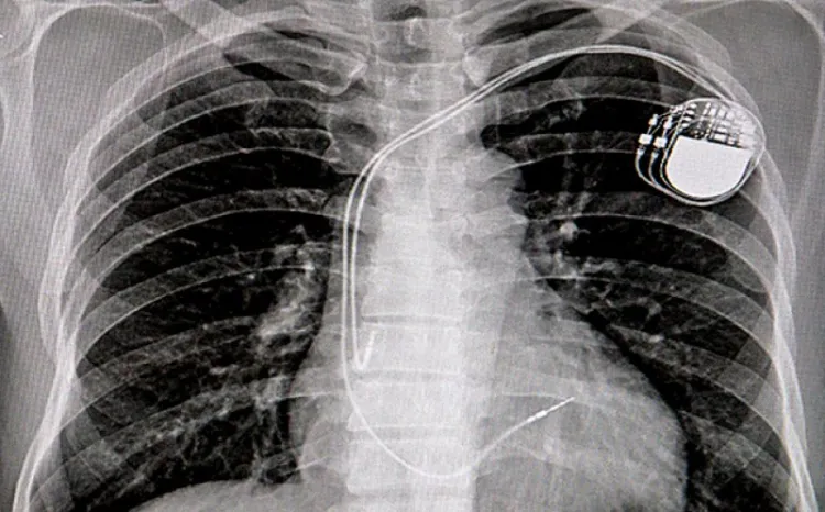
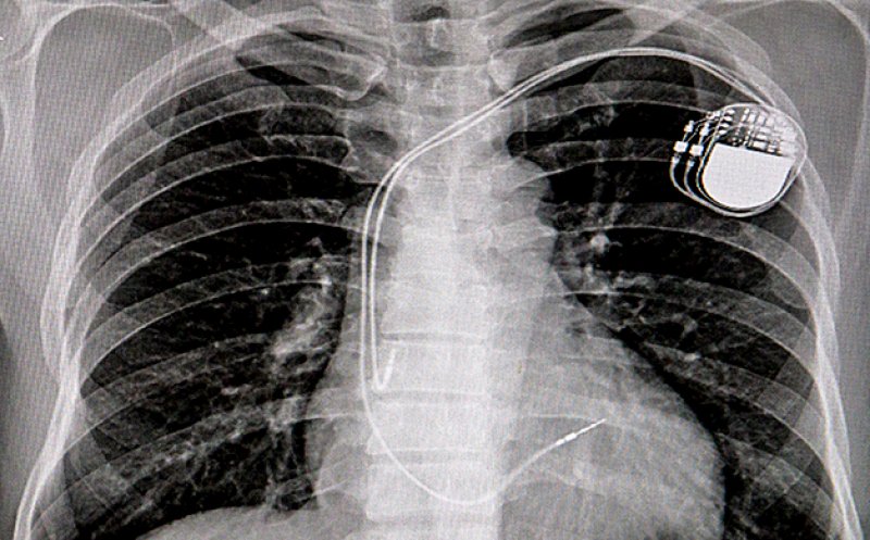
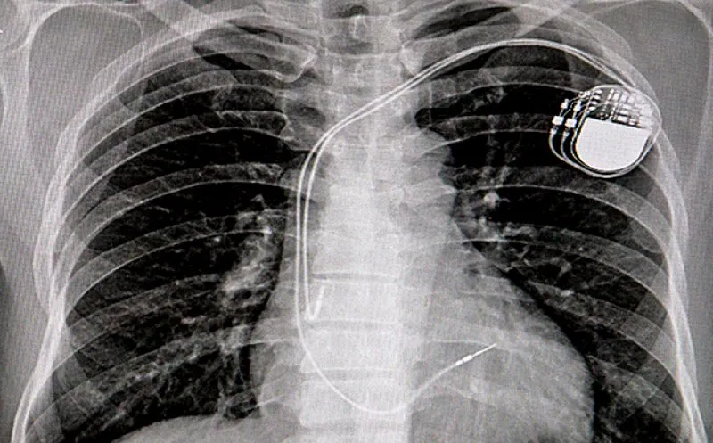
Doctorul Tesloianu a implantat dispozitive cardiace unor pacienți care nu aveau nevoie de o astfel de intervenție


„Consimțământul informat al pacientului" era falsificat. După semnarea de către pacienți, era adăugat, fără ca aceștia să știe, cu un pasaj scris de mână prin care și-ar fi dat acordul pentru pentru implantarea unor dispozitive refolosite.

Președintele Colegiului Medicilor, prof. dr. Daniel Coriu, se întreabă, referitor la ancheta privind stimulatoarele cardiace refolosite, inclusiv de la persoane decedate, la Spitalul Sf. Spiridon din Iași, „cum a fost posibil” ca acest lucru „să se întâmple într-un spital timp de 5 ani” și subliniază că „acest lucru nu putea fi făcut de un singur om. Omul acela nu a făcut acasă, la el în garaj”, a transmis Ziarul de Iaşi

Potrivit anchetatorilor, doctorul Dan Tesloianu „sau medici din subordine, la solicitarea acestuia, au alterat mai multe înscrisuri” prin care falsificau acordul pacienților pentru implantarea unor dispozitive medicale refolosite.

Doctorul a implantat dispozitive cardiace unor pacienți care nu aveau nevoie de o astfel de intervenție 

Procurorii îl mai acuză pe medicul Tesloianu că a introdus dispozitive cardiace implantabile, inclusiv extrase de la pacienți decedați, unor pacienți care nu aveau nevoie de astfel de astfel de intervenții.

Cardiologul realiza acest lucru consemnând un diagnostic fictiv – bradicardie – care să justifice necesitatea prescrierii unui stimulator cardiac sau prescriind medicamente care să provoace reacții de natură a conduce la simptomatologia specifică, „ignorând riscul de a provoca pacienților probleme medicale grave sau chiar decesul”. În fapt, manifestările clinice ale pacienților sunt asociate bradicardiei medicamentoase, ca urmare a planurilor de tratament administrate la recomandările sale anterioare, premeditate și care ar fi putut fi remediate prin schimbarea medicamentației.

Procurorii au solicitat arestarea medicului ieșean în 18 februarie, arătând că faptele acestuia sunt deosebit de grave, raportat la numărul lor, dar și că a pus în pericol grav a sănătatea sau chiar viața pacienților.

La percheziţiile de vineri în dosarul dispozitivelor medicale luate de la cadavre și montate pacienților, procurorii au găsit și ridicat următoarele:

  • 162.920 de lei,
  • 116.795 de euro,
  • 2.357 de dolari,
  • 300 de lire sterline,
  • 300 de franci elveţieni,
  • 3.500 de forinţi,
  • 520 de coroane suedeze,
  • 200 de coroane daneze,
  • 300 de lire sterline,
  • 19 telefoane mobile,
  • 60 de memory stickuri,
  • 14 laptopuri,
  • 3 tablete,
  • 9 hard diskuri,
  • 250 de DVD-uri,
  • 25 de stimulatoare/defibrilatoare cardiace,
  • 36 de tablouri aparţinând unor pictori naţionali de renume. 

Tablourile au fost ridicate şi duse la Complexul Muzeal Naţional Moldova Iaşi, Muzeul de Artă, a anunţat sâmbătă Parchetul General, potrivit Agerpres.

Comentarii Facebook