Radiografia care a șocat și medicii. Ce veste a primit mămica
O femeie însărcinată din Marea Britanie a primit o veste șoc în urma unui control de rutină.
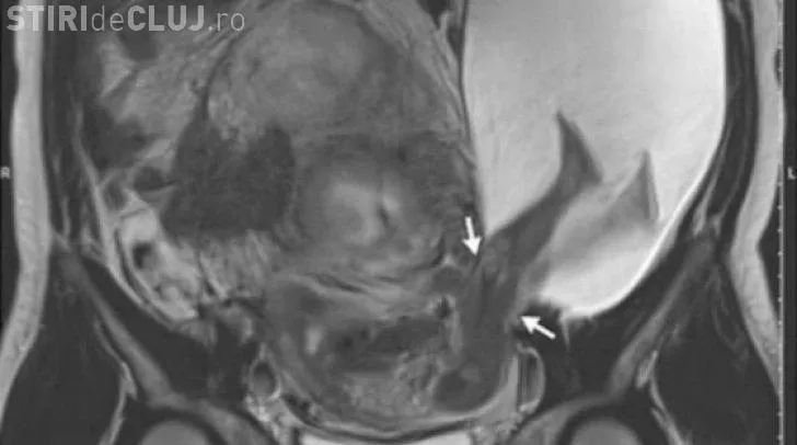
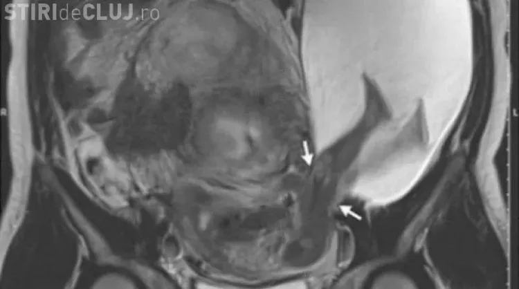
Ecografia din cea de-a 22 săptămână de sarcină a dezvăluit o problemă rară medicală. Din cauza faptul că mai adusese pe lume încă cinci copii, membrana uterului ei se subţiase foarte mult astfel că, la cea de-a şasea sarcina, această nu a mai rezistat tensiunii şi a cedat pe o porţiune de 2.5 centimetri.
Picioarele bebeluşului au ieșit din sacul amniotic, iar sarcina s-a complicat astfel foarte mult.

0 Comentarii