Copilul vampir! Medicii sunt uimiți de acest caz UNIC - FOTO

 

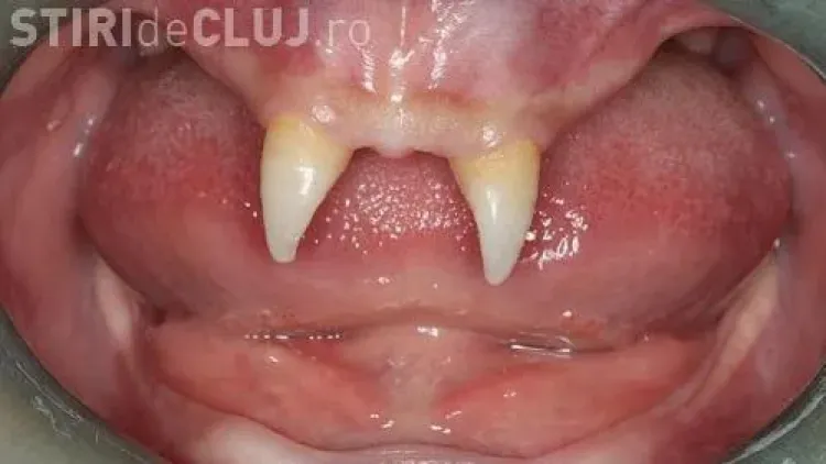
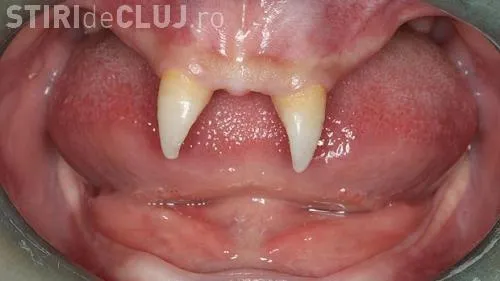
Un băiat din China i-a uimit pe medici, după ce i-au crescut doi canini foarte ascuţiţi, neavând alţi dinţi în gură.

 

Wang Hui, mama lui Wang Pengfei, și-a dus băiatul la un spital local din Chongqing (sud-vestul Chinei), pentru a vedea ce se întâmplă. 

 

Medicii i-au spus că cei doi canini vor fi operați când va fi un adult și că totul va costa 10.000 de euro. ”Nu are prieteni şi își dă din ce în ce mai mult seama cât de diferit este faţă de ceilalţi copii”, a spus mama copilului, care a adăugat că fiul ei a devenit mai izolat şi agresiv cu colegii, conform rtv.net.

Comentarii Facebook