O durea capul când mergea la SALĂ, până când a simtit o pocnitura: Ce i-au spus medicii a ÎNGROZIT-O
O femeie a acuzat dureri de cap când mergea la sală, iar medicii i-au pus un diagnostic ce a speriat-o.
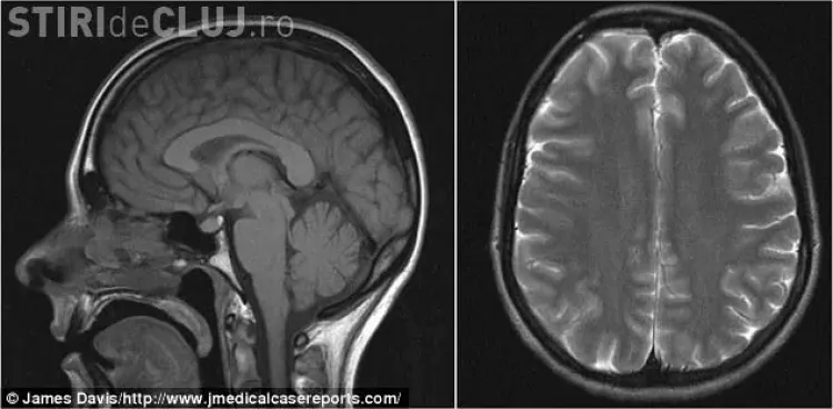
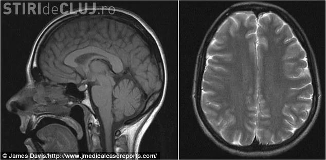
Femeia de 42 de ani mergea la cursuri de pilates, dar a ajuns la medic pentru că o durea foarte tare capul. Medicii de la un spitalul din Londra au stabilit că exercițiile de stretching au făcut ca lichidul cranian să se scurgă, provocându-i dureri foarte mari, scrie dailymail.co.uk.
Inițial, femeia s-a dus la medicul de familie, care i-a prescris un medicament de relaxare musculară și un analgezic. Pentru că durerile nu s-au oprit, ea a ajuns la un control de specialitate. Inițial medicii au vrut să afle dacă avea probleme cardiace sau o leziune cerebrală, dar au fost uimiți să afle că pulsul era normal și nu avea tensiune.
După ce i-au făcut un computer tomograf, medicii au stabilit că lichidul care se află în jurul creierului și a coloanei se scurgea printr-o ruptură musculară.
Femeia și-a revenit după o lună de repaos, dar medicii au concluzionat că ședințele de Pilates prezintă un astfel de risc.

0 Comentarii